從遮掩到綻放──林小姐的全瓷微笑重生記

「因為前面那幾顆牙齒好難看,講話跟笑的時候我總是會遮遮掩掩的⋯」


林小姐聽從家人的推薦與建議前來洗牙時,感受到診所環境舒適、服務親切,於是有點含蓄、小小聲的說出了長期以來的困擾⋯

 

因為牙齒型態寬短、齒色不均、樹脂補牙染色、牙齒切端缺角、脫鈣、與牙齦線條高低不均,連跟身邊家人或熟識的親友說話,都會下意識的遮掩嘴巴,笑的時候也常常只是微笑不敢露出牙齒⋯

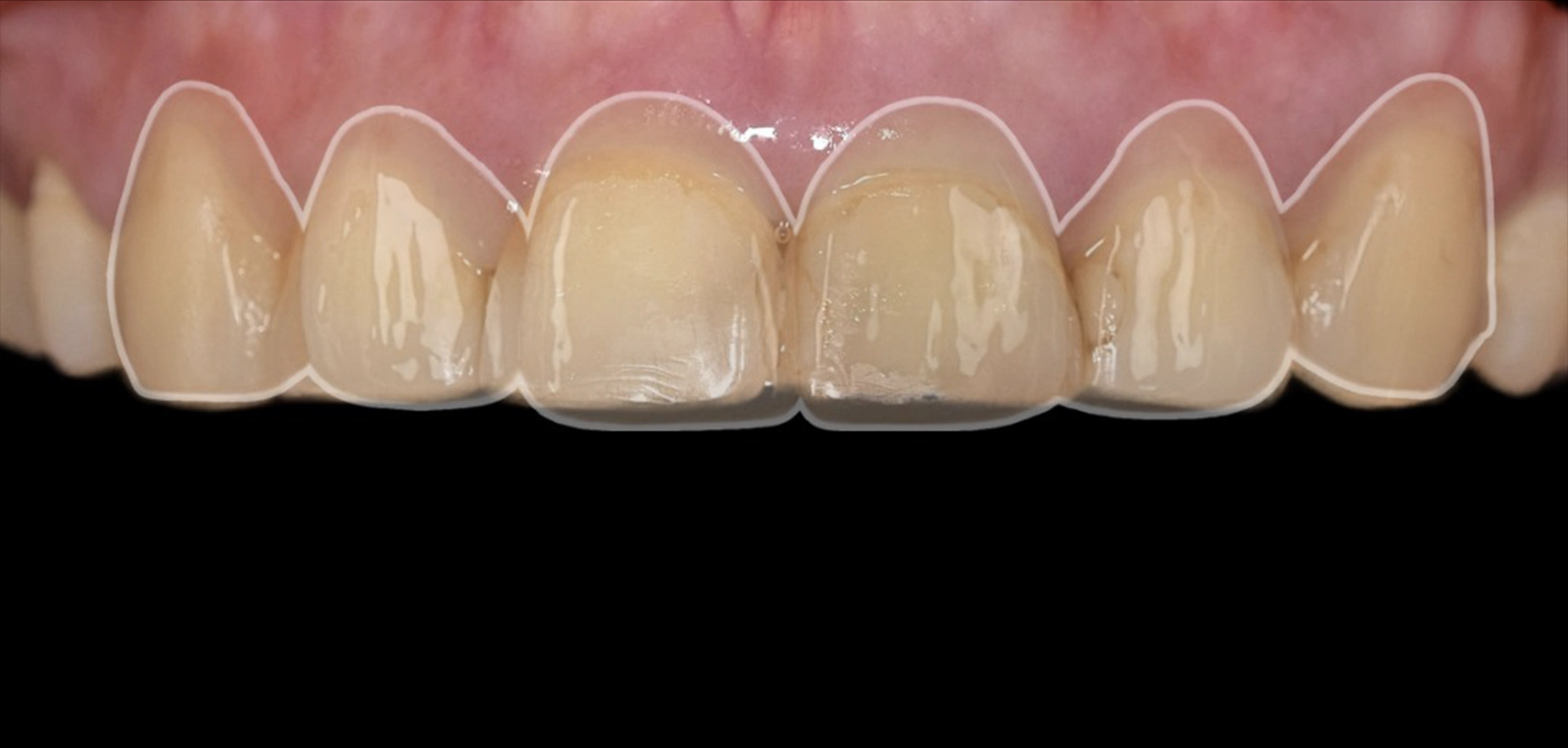
BEFORE 術前

✕ 牙冠較短形態不美觀
✕ 牙齦高低不平整
✕ 根管治療後變色
✕ 牙齒染色黃黑暗沉

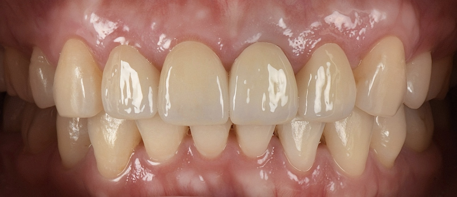
AFTER 術後

∨ 牙齒型態勻稱美觀
∨ 牙齦高度平整一致
∨ 顏色自然透白有光澤
∨ 微笑曲線弧度柔和

案例要點介紹

H2 標題目錄

    雙效整合設計 貼片與牙冠的完美搭配

    薛文琪醫師仔細分析牙齒狀況,透過全面評估為她規劃設計全瓷美學療程,將林小姐最介意的牙齒型態與顏色問題,以全瓷貼片保留更多健康齒質、全瓷牙冠結構穩定的特性,將色澤與形狀一併改善。
    了解療程後的林小姐眼神與聲音都漸漸明亮起來,語氣也越來越大方,原來是因為牙齒問題才遮掩、收斂了原本開朗活潑的個性。

    Digital smile design

    數位 DSD 微笑設計
    打造專屬的自然比例

    米羅牙醫導入 DSD 微笑設計系統,不只是著眼在牙齒的改造,而是將臉型、唇形與微笑線條一併納入設計考量,為林小姐打造符合個人特質專屬比例的貼片與牙冠。自然漂亮的牙齒重建,無疑是整體美感畫龍點睛的最佳效果,均衡協調的設計,讓笑容與表情自然連貫。

    高倍視野下的修復
    從細節提升穩定與美感

    在療程期間,薛文琪醫師輔助搭配使用高倍放大鏡,於清晰明亮的視野下進行修磨與黏著,將邊緣、線條精緻地處理,達到全瓷貼片與牙冠高度緊密貼合,避免密合度不佳造成的牙齦萎縮、染色與滲漏問題。
    除了維持自然透亮外觀,也可保留更多齒質,大幅提高長期穩定性。

    細緻牙齦整形術
    笑容質感的關鍵細節

    許多人以為漂亮笑容只要牙齒整齊就好,但看起來總覺得哪裏怪怪的美中不足,關鍵細節其實就是牙齦線條!
    薛醫師於療程規劃中,加入牙齦整形術(牙冠增長術),細緻調整前牙齒列的牙齦高低與輪廓,使整體線條更均衡柔和。
    林小姐驚訝的說:「原來牙齦線條的改變,效果會這麼好!」
    不但改善比例短寬的牙齒型態變得修長自然,整體齒列線條美感也大升級,笑容更自然漂亮。

    Before
    After

    專業技師協作
    專屬訂製的美學工藝

    米羅牙醫設有數位牙技中心,由專業牙技師與薛文琪醫師共同參與製作流程。從顏色調整、結構修飾到試戴確認,醫師與技師皆密切溝通、合作,可進行即時微調,縮短等待與修改時間,更能確保成品貼近患者期待。

    主治醫師簡介

    薛文琪 醫師
    • 假牙贋復
    • 顯微療程
    • 補骨手術
    • 全瓷貼片
    • 人工植牙
    • 水平智齒拔除

    想重拾大方自信的笑容嗎?

    貼片與牙冠完成後,林小姐對自己的全新笑容充滿驚喜,不僅親友稱讚連連,連她自己也說:「我好久沒有這樣放鬆地笑了!」 從遮掩到綻放,笑容的改變不只是外觀,更是重新拾回自信的開始。
    相關案例